GBRとは、guided bone regenerationの略で、和訳では骨再生誘導法という外科療法です。
当初、歯周治療のために開発されたguided tissue regenerationがインプラント周囲の骨欠損に応用され、骨再生が誘導できることから普及したものです。
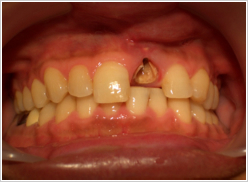
実際の症例をご覧頂きます。
■実際の症例
現    症:左上中切歯には前装冠が装着されていた。
       触診では歯冠部が動揺していたが、歯根に動揺は無く、歯根破折を疑った。
X線検査所見:左上中切歯は残根状態で、画像で破折線は判読できなかった。
診    断:左上中切歯歯根破折

Replace Serect Taperedインプラント1本(直径5.0mm,長さ13mm)を埋入後、上顎智歯部より移植骨を採取しGBRを行った。

最終上部構造の装着

暫間上部構造の歯冠長が右上中切歯に対して長くなったが、2ヶ月間リップラインの位置関係と軟組織の状態を精査し、患者に説明の上で2006年3月に最終上部構造を装着した。

歯科用CT
歯の欠損部を補う際、歯科インプラントは優れた治療法として認められ、 広く臨床に取り入れられようになって参りましたが、 顎骨に直接埋入するため安全で確実に治療できることが第一となります。
インプラントの画像診断は、一般的にパノラマエックス線検査が使用されますが、 それには、二次元画像であるため顎骨の断面が把握できず限界があります。 一方、歯科用コンビームCTでは、三次元的に断面を計測でき、的確な インプラント埋入が可能となります。
その他一般治療でも、親知らずの抜歯の際に三次元的な把握、根管治療の際 の形態や病変の把握、歯周疾患の際の周囲骨や病変の把握などCTの必要性は 非常に高いといえます。